ペンギンにも人間のようなヒザがあるって知ってた?

ペンギンは見た目もかわいいですが、ヨタヨタと歩く動作もユーモラスですよね。
とても足の短いペンギンですが、実は人間のようにちゃんとヒザがあるって知っていましたか?。
隠されたペンギンの足の秘密をご紹介します。

普通ペンギンはこんな風によちよち足状態で短い足しか見えていません。当然ヒザも見えません。
ところが骨格標本を見ると、こんなことになっているのです。

長い!

足だけをアップにすると、ヒトと同じくヒザがあります。

人間のヒザ />
じゃぁ普段このヒザはいったいどこに隠れているのでしょうか。

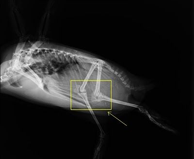
レントゲン写真を見てみると、折り曲がって体の中に隠れていました。緑の枠で囲まれた部分がヒザです。

横から写したヒザの部分。
これはペンギンに限った話ではなく、ダチョウやフラミンゴでなくとも鳥類はみなさんが思っているよりかなり驚くほど長い足をしているのだそうです。
そして生きている間は大腿骨の部分が見えないそうです。庭にいるような普通の鳥も、大腿骨は脊柱と平行に上のほうに収納され、羽で完全に覆われています。
見えている部分は脛(スネ)部分から足首にかけてだけなので、足が短いと思われていたのですね。
ちょっとした鳥のトリビアでした。
TIL penguins actually have long, human-like legs
KONITZ MUG グローブトロッター ペンギン 1110320499
posted with amazlet at 10.03.15
KONITZ (コーニッツ)
売り上げランキング: 18219
売り上げランキング: 18219




















