行方不明だったコンタクトレンズ…28年後にまぶたの裏から発見される

左まぶたに腫れと痛みを覚えた42歳のイギリス人女性は、病院で嚢胞(のうほう)と診断を受けました。
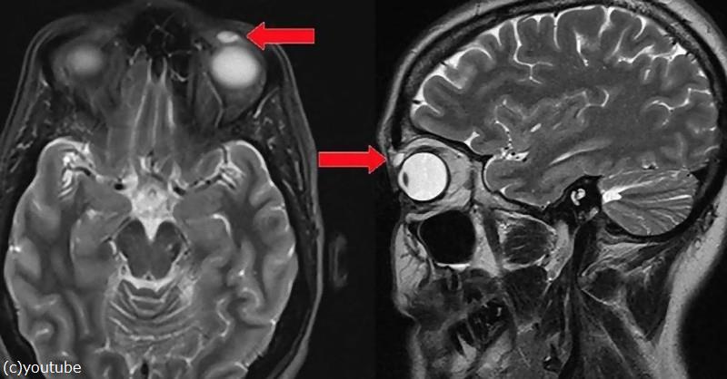
検査をしたところ、担当医師がまぶたの裏側から固形物らしき何かを発見。
なんと今から28年前(1990年ごろ)、当時14歳だった女性が紛失したと思っていたハードコンタクトレンズだったのです。
Woman had a contact lens stuck in her eye for 28 years - National | Globalnews.ca, YouTube

半年ほど前、左眉の下に痛みを伴うしこりができた女性は、まぶたがだんだんと腫れ上がり、垂れ下がったことから病院で診てもらうことにしました。

MRI検査をしてみたところ、まぶたの内側のあたりに何か異物が写っていたのです。

水泡から出てきたものは、ハードコンタクトレンズ。取り出す際に欠けましたが、発見時は完全な状態だったそうです。
この驚くべき発見は、女性の母親に28年前の記憶を思い起こさせました。当時バトミントンの試合で娘の目にシャトルが当たったことがあり、その際にコンタクトレンズを紛失していたのです。
家族はてっきり衝撃で落ちたものだと思い込んでいましたが、実に28年もの間、まぶたの裏に保存されていたのです。
幸いなことに女性の視力は、レンズや嚢胞による影響を受けていないとのことです。



















